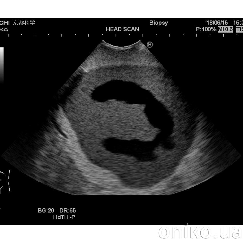
Ultrazvukový Fantom hlavy novorozence (typ-patologie)
První ultrazvukový Fantom hlavy novorozence s hydrocefalem na světě
 
Tento Fantom hlavy je navržen tak, aby vykazoval abnormální anatomii, jako je hydrocefalus; tvar lebky se změnil v důsledku intrakraniálního tlaku.
 
Praktické znalosti
 
- Skenování anatomie mozku v sagitální (parasagitální pod úhlem), čelní a příčné rovině prostřednictvím kterékoli z fontanel
 
Anatomie
 
- Lebka
- Přední fontanel, zadní fontanel
- Hypertrofovaná laterální komora
 
		 
						




 
 
							 
 
							 
 
							 
 
							 
 
							 
 
							 
 
							 
 
							 
						 
						